122
近日,在我院神经内科介入团队及导管室团队通力合作,顺利开展了医院首例经远端桡动脉穿刺脑血管造影术,为神经介入诊疗技术的开展提供了新的选择方式。


目前临床上常用的脑血管介入途径主要包括经股动脉入路、肱动脉和经桡动脉入路途径。我院神经内科于2015年开展川西北首例经桡动脉穿刺脑血管造影术,目前已开展数千例,同经股动脉穿刺相比,明显改善和提高了患者术后舒适度。

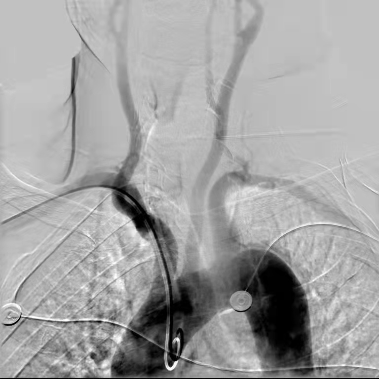
为更好地服务患者,神经内科介入团队不断追求技术创新。近日,科室黄骏主治医师成功为患者实施了新途径——远端桡动脉穿刺术完成脑血管造影,穿刺点选择在第一与第二掌骨之间的鼻烟壶区,对准桡动脉远端的分支血管进行穿刺插入导丝导管,穿刺过程顺利,患者没有明显疼痛感。该患者术后2小时即拆除了止血带,手部活动自如。

科室主任刘波表示,近年来我国脑血管疾病发病率居高不下,远端桡动脉穿刺具有动脉波动点易触及、穿刺简单、不损伤桡动脉、易压迫、术者易操作、患者舒适等优点,可以减少大出血、前臂附近桡动脉闭塞等风险,术后恢复更快,除穿刺侧腕关节外,其余肢体关节在术后活动不受限制。这对于不能坚持卧床的老年患者来说,优势更为明显,而术后卧床制动时间减少对于降低下肢深静脉血栓形成的发生具有积极意义,为病人提供了更舒适就医体验。
桡动脉远端穿刺作为神经介入新的途径,填补了院内技术空白,是省内先进技术。开展经远端桡动脉穿刺行全脑血管造影术,为后期复杂血管内治疗奠定技术基础,也为医院高级卒中中心建设丰富技术手段。
【神经介入团队简介】

刘 波
神经内科主任
主任医师,医学博士、博士后,川北医学院硕士生导师。第十二批四川省学术和技术带头人后备人选,四川省卫生系统先进个人。中国医师协会神经内科医师分会委员、国家互联网移动卒中救治联盟委员。从事神经内科工作10余年,擅长于脑血管病、神经痛、眩晕、疑难危重症等的诊治,尤其擅长神经疾病的介入治疗,目前独立完成各类脑血管介入手术5000余例,包括全脑血管造影术、急性脑梗死动脉溶栓/机械取栓术、脑血管支架置入术等。近年来开展的顽固神经痛的射频介入治疗,为大量患者解除痛苦。主持参与厅局级以上科研课题7项,取得厅局级科技进步奖2项,发表论文10余篇,其中SCI论文5篇。

张弟文
神经内科副主任
副主任医师,医学硕士。四川省医学会高压氧专委会和循证医学专委会委员、四川省康复医学会神经内科专委会青年委员,四川省卒中学会基层卒中管理分会委员。从事神经内科临床工作10余年,曾至四川大学华西医院重症医学科进修神经重症方向。擅长脑血管病、中枢神经系统感染、癫痫、头痛等疾病诊治,尤其对各种神经系统危重症、疑难病的诊治有丰富经验。发表学术论文多篇,获市级科技三等奖1项,参与多项国际、国家级课题研究,主持市级课题研究1项。

邹 欣
神经内科副主任
副主任医师,医学硕士。毕业于广州医科大学,四川省抗癫痫协会理事,四川省预防医学会卒中预防与控制分会青年委员会委员,四川省神经病学专委会康复技术学组委员,绵阳市医学会神经内科专委会委员。曾于浙江大学附属邵逸夫医院进修脑血管介入治疗,擅长脑血管病、癫痫、头痛、肌张力障碍等疾病的诊治。参与多项国家级课题研究,发表国家级、省级学术论文多篇。

黄 骏
神经内科主治医师
主治医师,医学硕士,毕业于西南医科大学神经病学专业。擅长神经内科常见病及多发病的诊断治疗,尤其针对脑血管疾病的介入治疗有一定经验。担任四川省卒中学会介入委员会青年委员,多次于省市级学术会议登台交流发言,在2019年四川省神经内科青年医师风采大赛决赛获第二名。发表学术论文数篇,其中SCI第一作者1篇。
【科室简介】
绵阳市第三人民医院神经内科始建于1980年,是绵阳市本专业最早独立建制学科,科室是国家高级卒中中心,国家首批神经内科专科住院医师规范化培训基地,绵阳市神经内科质量控制中心,为川北医学院硕士研究生培养点,四川省级甲级重点专科。
科室现有床位150张,医护人员80人,在本市率先独立开展缺血性脑血管病的介入治疗并处于领先水平,包括:经桡动脉穿刺全脑血管造影术、颅内外脑血管支架置入术、急性脑梗死动脉溶栓/机械取栓术等。率先开展神经康复、高压氧治疗、脑脊液细胞学检查、三叉神经射频热凝术,动态脑电图、床旁脑电图及视频脑电图、肌电图等检查在本市明显领先优势。
科室设备完善,技术实力雄厚,科室诊疗水平在川西北地区享有较高声誉,尤其在癫痫病的诊治和脑血管病介入诊疗技术方面达市内领先、省内先进水平。

作者:黄骏
编辑:黄平
审核:范利芳