403
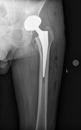
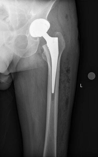
“真没想到我舅舅做了髋关节置换术后,第二天不仅能坐起来,能跷二郎腿,还能在家属的帮助下站起来走路,而且伤口只有8厘米左右,三医院骨二科的技术真的太厉害了!”骨二科患者卢大爷的外甥在卢大爷手术第二天看到他这么大的变化,兴奋惊喜之情溢于言表。这么神奇的手术效果,得益于骨二科肖聪团队采用的人工全髋关节置换手术中较为热门的微创前外侧入路(OCM入路)。
年近花甲的卢大爷,前段时间因外伤导致左侧股骨颈骨折。“老年人发生左侧股骨颈骨折的伤害是非常大的,骨折后不仅会饱受断骨的疼痛折磨,还因为需要长时间卧床容易出现肺炎、压疮等并发症。据统计,老年人股骨颈骨骨折后死亡率高达50%,因此被成为‘人生最后一次骨折’。”肖聪介绍到。
因此,尽快手术处理解决卢大爷的疼痛至关重要。但由于卢大爷儿时原因导致颅脑损伤,平时多动、下肢活动不受控制。如果选择传统入路行全髋关节置换术,不仅手术创伤大,而且术后面临脱位的风险。
“卢大爷目前的身体状况能不能承受如此大的手术创伤?如何降低卢大爷术后脱位的发生率?怎么能让卢大爷能快速康复,缩短治疗时长,减轻骨折疼痛和卧床?这是我们作为一位医生应该考虑的。”
带着以上问题,肖聪博士团队反复讨论、查阅国内外大量后,最终敲定选择OCM入路为卢大爷实施人工全髋关节置换术。
术中,肖聪团队按照术前模拟的手术方案,仅耗时1个半小时便成功为卢大爷完成了全髋关节置换手术。在骨二科医护人员细心的照料下,卢大爷术后不用再卧床,可以各方位随意“挥动”手术腿,翘起“二郎腿”,一周就康复回家。



【知识点】
为什么OCM入路全髋关节置换术,术后能让卢大爷随意“挥舞”手术腿,而且能下蹲及跷二郎腿穿袜子呢?
因为技术牛
OCM入路进行全髋关节置换术,从前方的阔筋膜张肌与臀中肌之间的间隙进入,不破坏髋关节周围肌群和后方的关节囊,实现了神经血管和肌间界面的操作。从而达到围手术期间出血量少、术后疼痛症状轻、住院时间短、髋关节脱位发生率低、患者满意度高的目标。
相比传统后外侧入路,OCM微创入路具有以下优势:
1.创伤切口小,切口长度一般为8-10cm;
2.肌间隙入路不损伤任何肌肉组织、血管、神经;
3.早期快速康复,患者可术后当天下地负重行走;
4.最重要的是术后髋关节脱位的发生率明显低于传统的后外侧入路。
据悉,该技术在国内处于领先水平,在川内属于首例。
(高志祥)
上一篇:我院血管外科成功举办“下肢慢性缺血性疾病治疗进展”的市级继续教育
下一篇:大外科举办2020年讲课比赛