122
近日,绵阳市第三人民医院普通外科接诊了一位49岁的女性患者王女士。她长期感到活动后气短、胸闷,多次被误诊为哮喘或心脏神经官能症,直至胸部CT检查才发现真正的病因——膈膨升。经过腹腔镜下膈肌折叠术,王女士的呼吸功能明显改善,生活质量大幅提升。
什么是膈膨升?为何容易被忽视?
膈膨升是指膈肌因先天性发育薄弱或后天性神经损伤,导致其异常抬高、变薄,进而压迫肺部、影响呼吸功能的一种疾病。由于其症状缺乏特异性,常表现为活动耐力下降、胸闷、气短,甚至消化道不适,极易被误诊为呼吸道或心源性疾病。
这种疾病值得关注,因为——
· 隐匿性强:早期症状轻微,常在日常劳累后出现,容易被患者自行忽视或误判。
· 误诊率高:因症状与哮喘、冠心病、慢性支气管炎等常见病相似,不少患者辗转多个科室仍未能确诊。
· 影响生活质量:严重时可导致反复肺炎、呼吸衰竭,甚至影响心脏位置与功能。
· 治疗效果好:一旦明确诊断,通过微创手术进行膈肌折叠,能有效恢复肺功能,避免长期不适与并发症。
注:膈膨升的诊断需结合影像学与临床表现,由普通外科、胸心外科、呼吸科等多学科协作评估。

王女士的“呼吸重生”之路
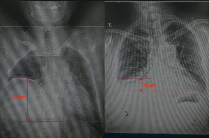
王女士长期受气短困扰,爬两层楼就需停下休息,多次就诊均未找到病因。直到在绵阳市第三人民医院行胸部CT检查,才发现左侧膈肌明显抬高,肺组织受压。普通外科团队为其施行了腹腔镜下膈肌折叠术。手术创伤小、恢复快,术后王女士呼吸顺畅,活动能力显著改善:“终于能正常走路、上下楼了,以前还以为是自己年纪大了体质变差。”
常见问答
Q1:膈膨升有哪些常见症状?
A:轻者可无症状,典型表现包括活动后气促、胸闷、反复下呼吸道感染,部分人可有上腹饱胀、食欲不振。
Q2:如何明确诊断?
A:胸部X线片可见膈肌抬高,CT或MRI可进一步评估膈肌形态与周围结构,必要时结合肺功能检查及神经肌电图。
Q3:不治疗会怎样?
A:重度膈膨升可能进行性影响肺功能,增加呼吸道感染风险,严重者可引起呼吸衰竭,建议早诊早治。
Q4:手术是否必须开腹?
A:目前多采用腹腔镜微创手术,创伤小、无切口、疼痛轻、恢复快,多数患者术后3-5天即可出院。
温馨提示
如果您或家人长期存在不明原因气短、胸闷、反复肺炎,或体检发现膈肌异常抬高,请及时到普通外科或呼吸科就诊。
作者:刘建军
编辑:杜乔乔
初审:蒋昊君 审核:张瀚文、胥润