403
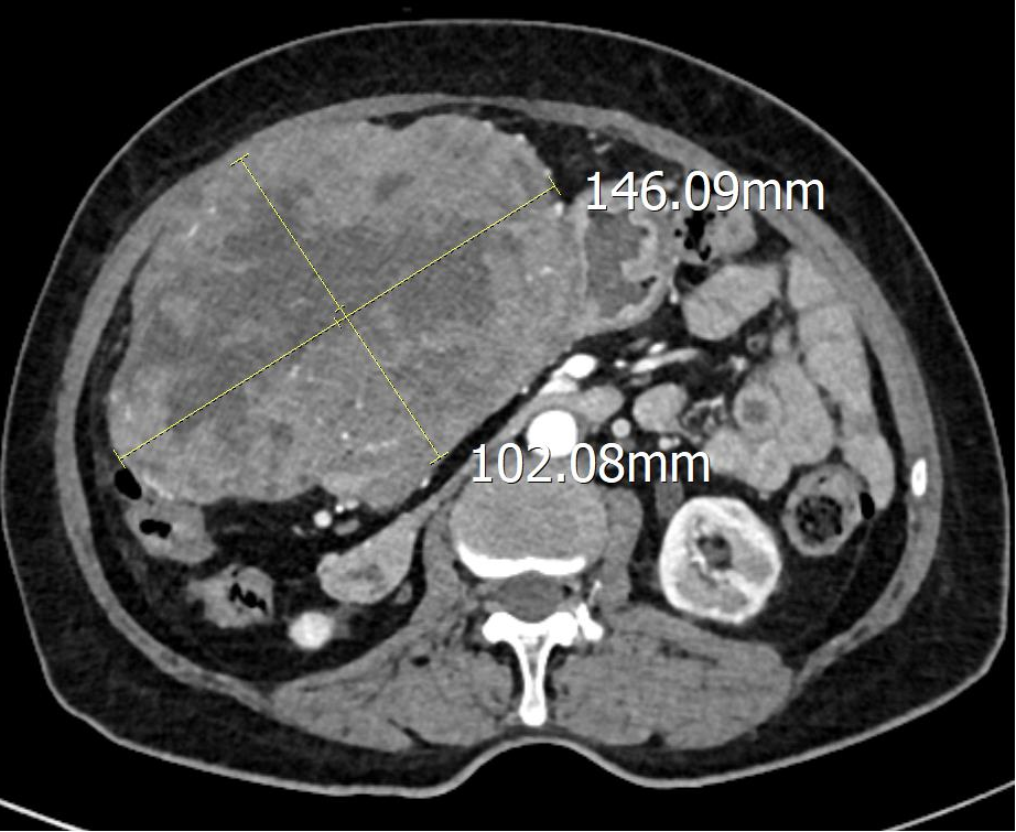
三年前,文婆婆在体检时发现胃部有一大小约2.5cmx2.4cm的包块占位,没有任何的不适,故未引起重视。一个月前,文婆婆发现肚子变大,并且摸到了一个大包块,还经常有黑便,多次出现头晕眼花乏力等症状。为了搞清楚病因到我院普通外科就诊,经完善CT提示腹腔巨大占位性病变,大小约14.7x9.6x15.7cm。
腹部CT


通过CT图像清楚发现肿瘤已经明显增大,在完善相关辅助检查后,发现文婆婆还存在严重的贫血,粪便隐血呈强阳性,这一切都提示肿瘤正在出血。
经讨论,文婆婆上消化道恶性肿瘤伴出血诊断明确,结合病史及辅助检查考虑为胃间质瘤出血可能,现重度贫血,若行穿行活检明确诊断后靶向治疗,期间可能出血加重,甚至无效导致肿瘤远处转移,术前检查未见远处转移征象,评估可手术切除,待术后病检结果再决定后续治疗。
纠正贫血后在全麻下为其行腹腔巨大肿瘤切除,术中见肿瘤基底约6x6x5cm大,占据远端胃前壁及小弯侧,远端位于十二指肠球部,肿瘤完整,与周围组织广泛粘连,经过3个多小时,将肿瘤完整切除。尽管手术过程困难重重,但都被一一化解,手术顺利完成,文婆婆也顺利度过难关。
“拆弹”成功后文婆婆恢复顺利,术后病检也证实确为胃肿瘤间质瘤(GIST),危险度评估高危,基因检测提示KIT基因外显子11突变,为防止肿瘤复发,文婆婆还需要服用药物继续治疗3-5年,期间保持密切随访。
什么是胃肠道间质瘤?
胃肠间质瘤是胃肠道最常见的间叶源性肿瘤,多见于50-70岁的中老年人。它在国际上属于罕见肿瘤,但中国人口基数大,每年依然有2-3万人发病。胃和小肠是最常见的原发部位。大约有1/3的患者在早期没有明显症状,常常是在胃肠镜检查或者常规体检时意外发现了肿瘤。肿瘤长到一定大小后,压迫周围组织和器官,部分患者可能会出现腹痛、腹部不适、消化道出血,及腹部包块等症状。但上述症状并非胃肠间质瘤所特有。正因为临床表现多样、缺乏特异性,胃肠间质瘤不易被诊断发现。在首次就诊的胃肠间质瘤患者中,有20%-30%的患者已发展成为晚期。
胃肠间质瘤和大家所知道的癌症不一样,它发生于胃肠道间叶组织,局部侵袭性不如癌肿,较少通过淋巴结转移。以前认为其有良恶性之分,现在发现即使很小的胃肠间质瘤也可能发生复发或转移,故目前普遍认为它也是一种恶性的肿瘤。对于胃肠间质瘤,不同复发转移风险的肿瘤手术切除后的转归完全不同,因此需要对不同的患者个案制订个体化的治疗方案。除了部分无症状的极小(<2cm)的肿瘤,手术切除是大部分胃肠间质瘤的首选治疗方案。
对不同的患者可采取的手术方案包括传统开腹手术、腹腔镜微创手术、内镜下微创手术和内镜联合腹腔镜的微创手术。通过完善的术前评估和周密的术前准备,绝大多数(>95%)的胃肠间质瘤可以获得根治性切除。对于一部分评估后判断为无法根治性切除或手术创伤及风险过大的患者,通过靶向药物的术前治疗,可以达到肿瘤缩减,从而重新获得根治性手术条件。已经发生或有术后较高可能(中度及高度风险)发生复发转移的胃肠间质瘤患者,需要接受靶向药物的治疗。
由于胃肠间质瘤起病部位较为隐蔽,临床表现又没有特异性,所以早期发现诊断还有一定的困难。消化道出血是一个有价值的提示信号,所有不明原因的消化道出血(如黑便、呕血等)均需要尽快到正规医院接受检查,排除胃肠道肿瘤(包括胃肠间质瘤和胃癌肠癌)的可能。
现在临床上遇到越来越多的通过体检偶然发现胃微小间质瘤(<2cm)的病例,目前认为微小间质瘤的发病率要远超过预期,其中一部分可能终身稳定而不进展。因此,对于这部分患者来说,过度的焦虑是不必要的,应当在专业医师的指导下进行定期的随访或内镜/腹腔镜下的微创手术切除。
作者:赵应涛
编辑:杜乔乔
审核:邓金林
上一篇:我是小医生·三医职业体验营 | 小小“急救师”活动走进高新区龙家碾社区幼儿园