70
进食不小心吞咽异物是日常生活可能会遇见的问题,及时到医院取出异物,避免对人体造成严重伤害是非常重要的。
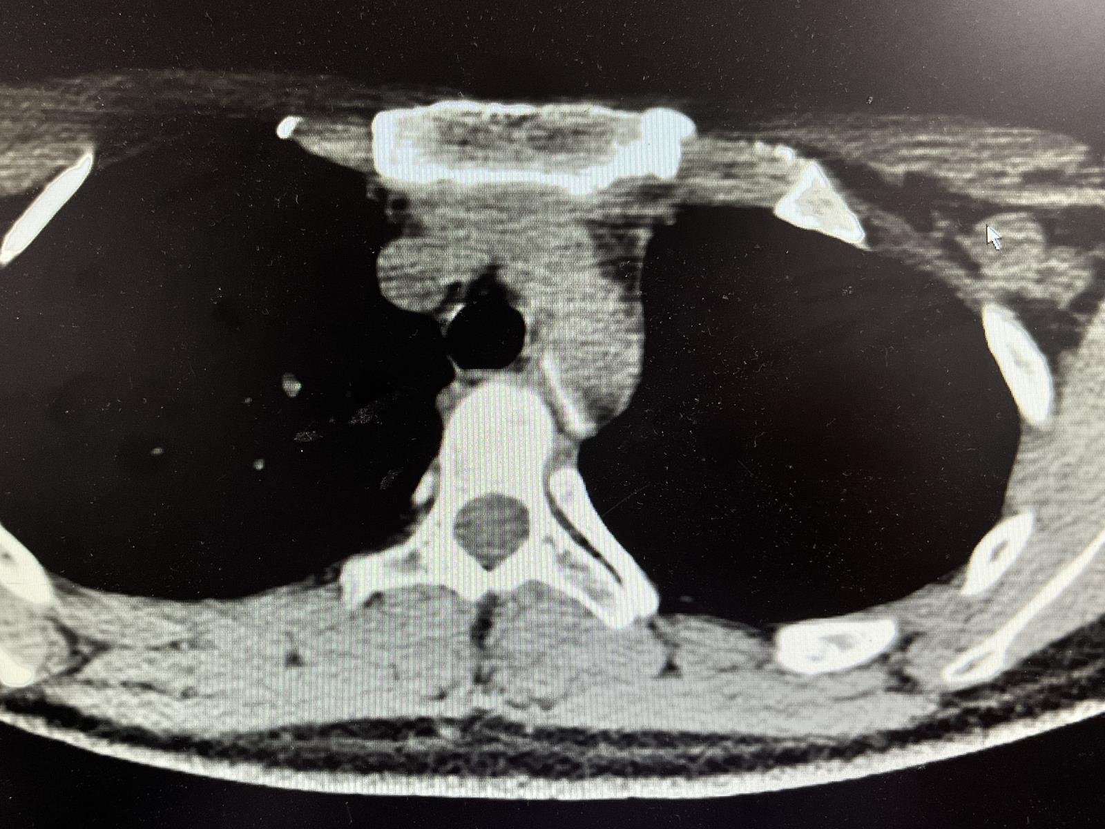
近日,绵阳市第三人民医院消化内科住院总邓倩曦接到急诊科电话通知,有病人吃饭时误将鸭骨头卡在食管,经CT检查显示鸭骨头较大且位置很深,请消化内科会诊共同协商治疗方案。经会诊,消化内科邓倩曦表示患者需要立即进行急诊食管镜将异物取出,避免鸭骨头继续下降造成食管穿孔影响患者生命安全。
确定好治疗方案,与患者及家属沟通好治疗方案告知相关注意事项后,邓倩曦立即联系内镜室行急诊食管异物取出术,鸭骨头很快被取出,患者麻醉清醒后身体也无不适感。邓倩曦表示,“这次取异物非常凶险,鸭骨头距离门齿已经有22cm的长度,而且骨头大小约2cm左右,呈楔形,三个角也非常锋利,如果没有尽早取出,骨头发生移位,很可能导致食管穿孔或者刺破主动脉弓导致大出血,危及患者生命安全,但万幸的是患者及时就医,我们也顺利的把异物取出了。”

(图:鸭骨头较大且位置很深)
最后提醒大家:一旦发生误吞异物,请您和家属一定不要惊慌,也不要喝水或吃东西试图把异物咽下去,强行吞咽很有可能导致异物嵌顿加深或划伤食管,增加并发症发生率和手术难度。正确的做法是及时到医院就诊进行规范检查,科学安全进行处理。
医生简介:
邓倩曦,主治医师,医学博士,毕业于重庆医科大学,研究方向:消化病学。对消化系统各种疾病的诊治有-定的研究,擅长于胰腺炎、胰腺癌方面疾病的诊治。在省级以上专业期刊发表论文数篇。
科室链接:
绵阳市第三人民医院消化内科是集医疗、教学、科研为一体的现代化专业科室,绵阳市重点学科。现有主任医师2人、副主任医师4人、主治医师4人、住院医师7人;其中博士1名、硕士研究生11名。设有住院部、门诊、内镜中心及介入诊疗中心等,开放床位75张。
开展消化道息肉切除术、消化道异物取出术、消化道狭窄扩张及支架置入术、内镜经皮胃造瘘术(PEG)、消化道早癌的内镜精查、内镜黏膜下剥离术(ESD)、消化道黏膜下肿瘤挖出术(ESE);针对肝硬化合并静脉曲张出血的内镜介入治疗,如食管静脉曲张套扎术(EVL)、食管胃静脉曲张硬化剂及组织胶注射治疗、经颈静脉肝内门体分流术(TIPS)及胃冠状静脉弹簧圈栓塞术;原发性肝癌的选择性肝动脉化疗栓塞术;内镜隧道技术治疗贲门失迟缓及黏膜下肿瘤;针对胆道疾病的内镜逆行胰胆管造影(ERCP)相关诊疗技术,如内镜下十二指肠乳头切开及胆道取石术,内镜下鼻胆管引流术等。
作者:消化内科/谢鑫炎
编辑:杜乔乔
审核:邓金林
上一篇:食管异物不慌张,正确救治最重要